Case of the Week #623
UT Southwestern Medical Center, Plano, Texas, United States of America





View the Answer Hide the Answer
Answer
We present a case of isolated tricuspid atresia type 1 with persistent left superior vena cava. No other extracardiac anomalies were found. Our diagnosis was confirmed after birth.
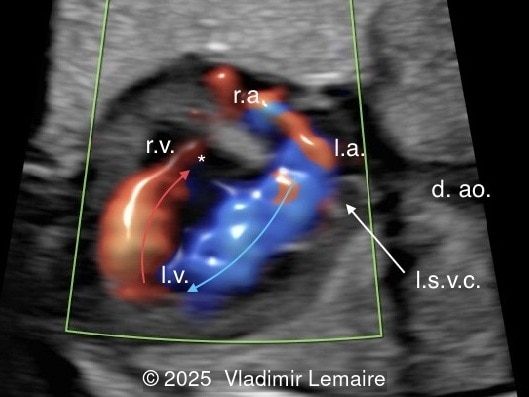
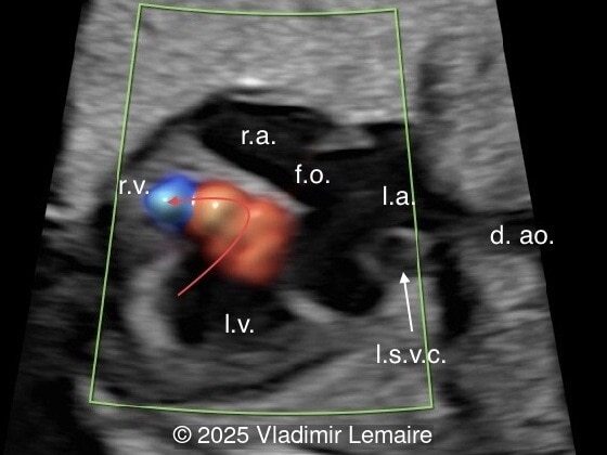
In the images below, the abbreviations are as follows: RA: right atrium; RV: right ventricle; LV: left ventricle; MV: mitral valve; LA: left atrium; FO: foramen ovale; SVC: superior vena cava; LSVC: left superior vena cava; PV: pulmonary veins; PA: pulmonary artery; MPA: main pulmonary artery; RPA: right pulmonary artery; AO: aorta; dAO: descending aorta; aAO: ascending aorta; DA: ductus arteriosus; T: trachea; * marks the ventricular septal defect.






Discussion
Tricuspid atresia is a rare anomaly, with an incidence of 0.08 per 1,000 live births, and is characterized by the lack of communication between the right atrium and ventricle. As a result, the right ventricle is hypoplastic. The tricuspid valve apparatus does not develop in the majority of cases, and the right atrioventricular junction appears as echogenic thickened tissue on ultrasound examination. An inlet type ventricular septal defect is always present, and the size of the right ventricle depends on the size of the ventricular septal defect. As a consequence of the obstructed tricuspid valve, a large interatrial communication, in the form of a widely patent foramen ovale or atrial septal defect, is necessary.
Based on the spatial orientation of the great vessels, tricuspid atresia is classified into three types.
- Type 1 occurs in 70 to 80% of cases and is associated with normally oriented great arteries.
- Type 2 is associated with D-transposition of the great arteries and occurs in 12 to 25% of cases.
- Type 3 is uncommon and seen in the remainder of cases. It is usually associated with complex great vessels abnormalities, such as truncus arteriosus or L-transposition.
The four-chamber view in tricuspid atresia is diagnostic. It reveals a small right ventricle, a ventricular septal defect, and the absence of a right-sided atrioventricular junction. The size of the right ventricle mainly depends on the size of the ventricular septal defect: the smaller the ventricular septal defect, the smaller the right ventricle. Its contractility is normal with no myocardial thickening. The atretic tricuspid valve appears as echogenic thickened tissue and the right atrium is slightly dilated. The interatrial communication is large and there is often a redundant flap of the septum secundum that bulges into the left atrium. The interatrial and interventricular septa are malaligned.
The size of the great vessel arising from the right ventricle should be evaluated for the presence of stenosis, which is a common association. The severity of right outflow tract obstruction directly correlates with the size of the right ventricle and the ventricular septal defect. Occasionally, pulmonary or aortic atresia can be found.
Color Doppler confirms the diagnosis on grayscale ultrasound, as it demonstrates the lack of blood flow across the tricuspid valve and a patent mitral valve. Due to increased blood flow across the mitral valve, aliasing is typically noted on color Doppler. Mitral valve regurgitation has been associated with a poor outcome. The right ventricular cavity is filled in late diastole from the left ventricle, through the ventricular septal defect. Left-to-right shunting across the ventricular septal defect can be seen on color Doppler. Color Doppler is helpful in the evaluation of flow across the great arteries. Flow across the pulmonary artery is generally antegrade. Pulmonary stenosis should be suspected when the vessel is diminutive in size rather than the demonstration of turbulent flow on color Doppler, which is typically absent in these cases.
Flow across the ductus arteriosus is usually antegrade. The demonstration of retrograde flow in the arterial duct is a sign of ductal-dependent pulmonary circulation with possible cyanosis in the newborn. Ductal-dependent pulmonary circulation in tricuspid atresia is seen in severe pulmonary stenosis or atresia in association with a small right ventricle.
Associated cardiac findings include a large interatrial communication such as a patent foramen ovale or an atrial septal defect, transposition of the great arteries, and various degrees of ventricular outflow obstruction. Ventricular outflow obstruction can vary from patent pulmonary artery to stenosis and atresia, and from patent aortic arch to aortic stenosis, coarctation, or interruption of the aortic arch. Other associated cardiac lesions include persistent left superior vena cava as presented in this case, right aortic arch, pulmonary venous abnormalities, and juxtaposition of the atrial appendages. Extracardiac anomalies can be found in tricuspid atresia and there is a rare association with chromosomal aberration such as microdeletion 22q11. Fetal karyotyping should be offered.
Differential diagnosis for tricuspid atresia include pulmonary atresia with intact ventricular septum and double inlet ventricle, both presenting with a hypoplastic right ventricle in the four-chamber view.
Serial ultrasound examinations are necessary to assess the patency of the foramen ovale and the presence of right ventricular outflow obstruction. In almost all cases, the ductus venosus will show reverse flow during diastole due to increased preload in the right atrium. This should not be interpreted as a sign of cardiac failure.
Postnatal outcome depends on associated cardiac and extracardiac findings. At 1 year of age, following active management, the survival rate reached 83% for tricuspid atresia.
References:
Abuhamad A, et al. "Tricuspid Atresia." A Practical Guide to Fetal Echocardiography: Normal and Abnormal Hearts (4th edition). Singapore: Wolters Kluwer, 2022. pgs 341-351.
Discussion Board
Winners

Javier Cortejoso Spain Physician

Boujemaa Oueslati Tunisia Physician

carlos lopez Venezuela Physician

Muradiye YILDIRIM Turkey Physician

ALBANA CEREKJA Italy Physician

Deval Shah India Physician

Murat Cagan Turkey Physician

Ionut Valcea Romania Physician

Đặng Mai Quỳnh Viet Nam Physician

András Weidner Hungary Physician

Annette Reuss Germany Physician

Dennis Wood United States Sonographer

Denys Saitarly Israel Physician

Le Tien Dung Viet Nam Physician

Tetiana Ishchenko Ukraine Physician

Zuzana Rak Slovakia Physician

Hana Habanova Slovakia Physician

Lucia Bobik Slovakia Physician

Murad Esetov Russian Federation Physician

Melina capellan United States Sonographer